Receba 4 Revistas em casa por 35,90/mês

Notícias sobre Mal de Parkinson

Ator parou de atuar em 2020 por conta da doença
Depois de 5 anos longe da atuação em razão da doença de Parkinson, ator retornará como novo personagem da série 'Shrinking'
Hoje com 64 anos, astro de 'De Volta para o Futuro' convive com o Parkinson desde os 29
Cantor vinha sofrendo de complicações de saúde e um diagnóstico debilitante de Parkinson
Ninguém acreditava que ele seria capaz de superar a pobreza para se tornar um ídolo musical
O autor de novelas, de 92 anos, foi internado no começo do ano
Morten Harket revelou sofrer da doença de parkinson e que não tem mais vontade de cantar
Novelista está recluso para tratamento contra doença degenerativa, diagnosticada há 6 anos
Apresentadora descobriu doença aos 45 anos
O novo modelo para estudar a doença de Parkinson

O novo modelo para estudar a doença de Parkinson

Por Agência FAPESP 24 abr 2025, 12h00
Doença de Parkinson: nova pesquisa abre caminho para o tratamento com células-tronco

Doença de Parkinson: nova pesquisa abre caminho para o tratamento com células-tronco

Por Luiz Paulo Souza 16 abr 2025, 12h39 | Atualizado em 26 jun 2025, 15h46
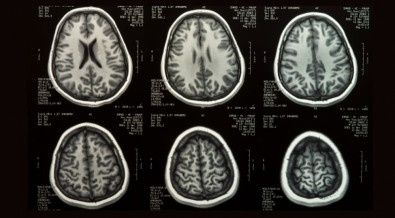
Médicos contam como avanços em exames oculares permitirão antecipar o diagnóstico de condições como Alzheimer, Parkinson e esclerose múltipla
Parkinson: dispositivos cerebrais marcam nova era no tratamento

Parkinson: dispositivos cerebrais marcam nova era no tratamento

Por Diogo Sponchiato Materia seguir SEGUIR Materia seguir SEGUINDO 11 abr 2025, 07h30 | Atualizado em 11 abr 2025, 10h13
Augusto Nascimento diz que o pai lida com a a doença há dois anos e detalhou como está o humor de Bituca diante do problema de saúde
Dançar também é exercício? Estudo aponta benefícios da atividade

Dançar também é exercício? Estudo aponta benefícios da atividade

Por Fernanda Bassette, da Agência Einstein 3 mar 2025, 14h00
Parkinson: protocolo experimental reduz risco de quedas em oito sessões

Parkinson: protocolo experimental reduz risco de quedas em oito sessões

Por Maria Fernanda Ziegler, da Agência Fapesp 10 fev 2025, 14h00
Continua após publicidade

Matéria exclusiva para assinantes. Faça seu login

Este usuário não possui direito de acesso neste conteúdo. Para mudar de conta, faça seu login

Duas mulheres sorridentes, uma mais velha com cabelo cacheado e uma mais jovem com cabelo liso, abraçadas, usando camisas brancas, em um fundo claro. À esquerda, um ícone de árvore roxa estilizadaDuas mulheres sorridentes, uma mais jovem com a cabeça apoiada no ombro da outra, ambas vestindo camisas brancas, em um fundo claro com um ícone de árvore roxa à esquerda
OFERTA RELÂMPAGO

Digital Completo

A notícia em tempo real na palma da sua mão!
Chega de esperar! Informação quente, direto da fonte, onde você estiver.
De: R$ 16,90/mês Apenas R$ 1,99/mês

*Acesso ilimitado ao site e edições digitais de todos os títulos Abril, ao acervo completo de Veja e Quatro Rodas e todas as edições dos últimos 7 anos de Claudia, Superinteressante, VC S/A, Você RH e Veja Saúde, incluindo edições especiais e históricas no app.
*Pagamento único anual de R$23,88, equivalente a R$1,99/mês. Após esse período a renovação será de 118,80/ano (proporcional a R$ 9,90/mês).